製品・サービス
Hisタグ用磁気ビーズ
Cube Biotech社では、サイズが小さいこと、免疫原性が低いこと、天然条件や変性条件、さらには界面活性剤や各種の添加剤の存在下でも安定であることから、アフィニティタグとして広く使用されているポリヒスチジンタグを用いたハイパフォーマンス磁気ビーズをご提供しております。
磁気ビーズは培養上清からの精製やプルダウン実験に最適です。
PureCube磁気ビーズはニッケルイオンを配位したキレートリガンド(IDAまたはNTA)を結合したアガロースビーズでコーティングされたフェリ磁性体です。
どちらのリガンド-金属システムもHisタグタンパク質を効果的に結合します。
✔ 25%サスペンションでお届け
✔ 70 mg/mLまでの結合能 (Ni-NTA)
✔ IDAおよびNTAリガンドのどちらも提供可能
✔ 抗Hisタグ抗体の別途ご提供も可能
実験室レベルから生産スケールまで一貫性を持って磁気ビーズの分離を行うために、Sepmag均一系バイオ磁気分離システムをお勧めします。
注: より高レベルでの発現や大スケールでの精製用にはPureCube Hisアフィニティアガロースをご使用になることをお勧めします。
ウェスタンブロットでのHisタグタンパク質検出用にタグ特異的抗体もご用意しております。
高い結合容量
IDA
PureCube Ni-IDA磁気ビーズは1mLあたり40mgのタンパク質の結合が可能であり、他の競合製品と同等の結合能力を保持します。
図1. は大腸菌で発現した6-His Interleukin-betaをPureCube Ni-IDA 磁気ビーズおよび競合製品で精製したサンプルのSDS-PAGEの結果が示されております。同等の量のタンパク質が3つの溶出液から回収されていることがわかります。

図1
PureCube Ni-IDA磁気ビーズの結合容量はマーケットリーダーのNi磁気ビーズと同等です。
PureCube Ni-IDA磁気ビーズおよび競合Gの磁気ビーズ製品を用いて精製されたinterleukin-betaのSDS-PAGEの結果は溶出フラクション(E1-E3)のタンパク質濃度が同等であることを示しています。
NTA
PureCube Ni-NTA磁気ビーズは非常に高い結合容量を示します。
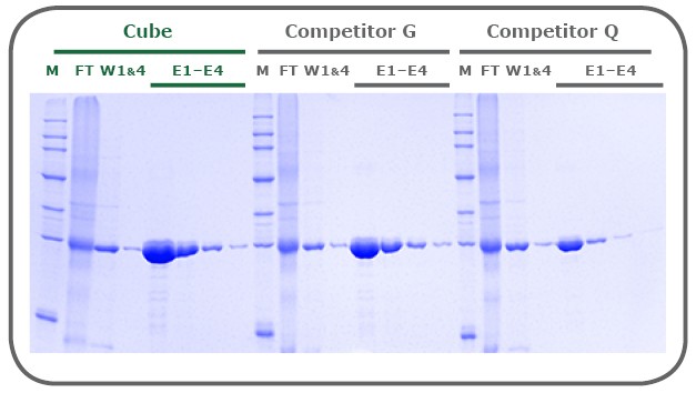
2社のマーケットリーダーから販売されている同等品とPureCube Ni-NTA磁気ビーズで大腸菌発現GFPを精製する実験が別途実施されました。
図2. はSDS-PAGEの結果を比較したものです。競合Gを用いて4つの溶出フラクションから回収された総タンパク質量は競合Qより多く、PureCube Ni-NTA磁気ビーズを用いて4つの溶出フラクションから回収された総タンパク質(Cube, E1-E4)は競合G製品と比較してさらに46%も多いことが確認されました。

図2 大腸菌発現GFPをPureCube Ni-NTA 磁気ビーズおよび市場で広く仕様されている競合2製品で精製した結果のSDS-PAGE
PureCube Ni-NTA 磁気ビーズでは46%以上高収率でタンパク質が回収できます。
4つの溶出フラクションから回収されたタンパク質の総量を比較すると、競合G製品を用いて精製された結果(E1-E4, G)は競合Q製品を用いて精製された結果(E1-E4, Q)より回収率が高く、PureCube Ni-NTA磁気ビーズは競合G製品よりもさらに46%高い(E1-E4, Cube)結果が得られました。
M: マーカー; FT: フロースルー; W1, W4: 洗浄フラクション; E1-E2: 溶出フラクション。
IDAとNTAの比較
図3. に示される様に、iminodiacetic acid (IDA)およびnitrilotriacetic acid (NTA)キレートリガンドはニッケルとHisタグのイミダゾール環の間と類似した相互作用をサポートします。
これらのリガンド間ではまず、サイズが異なります。IDAは小さく、高密度にレジンに結合し、高い結合能を誇ります。
一方、IDAの配位数はNTAより少数です(オレンジ)。
結果として、IDAレジンからは金属イオンが溶離しやすく、NTAと比較して溶離タンパク質の純度は低くなります。

図3
【IDA と NTA】キレートリガンドとしての nitrilotriacetic acid (NTA)とiminodiacetic acid (IDA) は Ni2+とポリヒスチジンタグのイミダゾール環の間の相互作用を同様の形式で補助しますが、NTAは Ni2+と4点で配位するのに対し、IDAは3点で配位します(オレンジ)。
この相違が得られた精製タンパク質の品質に大きな影響を与えます。
Ni/Co配位磁気ビーズのリスト(大容量にも対応可能です)
表1. Ni/Co配位磁気ビーズのリスト
| カタログ番号 | 製品名と内容 | |
| Ni-NTA磁気ビーズ | 31201 | PureCube Ni-NTA Magbeads (1 mL) 1 mL 25% suspension |
| 31205 | PureCube Ni-NTA Magbeads (5 ml) 5 mL 25% suspension | |
| 31225 | PureCube Ni-NTA Magbeads (25 mL) 25 mL 25% suspension | |
| 31290 | PureCube Ni-NTA Magbeads (4 * 25 ml) 4 * 25 mL 25% suspension | |
| Co-NTA磁気ビーズ | 31501 | PureCube Co-NTA Magbeads (1 mL) 1 mL 25% suspension |
| 31505 | PureCube Co-NTA Magbeads (5 ml) 5 mL 25% suspension | |
| 31525 | PureCube Co-NTA Magbeads (25 mL) 25 mL 25% suspension | |
| 31590 | PureCube Co-NTA Magbeads (4 * 25 ml) 4 * 25 mL 25% suspension | |
| 無配位NTA磁気ビーズ | 31801 | PureCube NTA Magbeads (1 mL) 1 mL 25% suspension |
| 31805 | PureCube NTA Magbeads (5 ml) 5 mL 25% suspension | |
| 31825 | PureCube NTA Magbeads (25 mL) 25 mL 25% suspension | |
| 31890 | PureCube NTA Magbeads (4 * 25 ml) 4 * 25 mL 25% suspension | |
| Ni-IDA磁気ビーズ | 30201 | PureCube Ni-IDA Magbeads (1 mL) 1 mL 25% suspension |
| 30205 | PureCube Ni-IDA Magbeads (5 ml) 5 mL 25% suspension | |
| 30225 | PureCube Ni-IDA Magbeads (25 mL) 25 mL 25% suspension | |
| 30290 | PureCube Ni-IDA Magbeads (4 * 25 ml) 4 * 25 mL 25% suspension | |
| Co-IDA磁気ビーズ | 30501 | PureCube Co-IDA Magbeads (1 mL) 1 mL 25% suspension |
| 30505 | PureCube Co-IDA Magbeads (5 ml) 5 mL 25% suspension | |
| 30525 | PureCube Co-IDA Magbeads (25 mL) 25 mL 25% suspension | |
| 30590 | PureCube Co-IDA Magbeads (4 * 25 ml) 4 * 25 mL 25% suspension | |
| 無配位IDA磁気ビーズ | 30801 | PureCube IDA Magbeads (1 mL) 1 mL 25% suspension |
| 30805 | PureCube IDA Magbeads (5 ml) 5 mL 25% suspension | |
| 30825 | PureCube IDA Magbeads (25 mL) 25 mL 25% suspension | |
| 30890 | PureCube IDA Magbeads (4 * 25 ml) 4 * 25 mL 25% suspension | |
| 抗Hisタグ抗体 | 40040 | PentaHis Antibody* (0.1 mg) BSA-free lyophilized * manufactured by QIAGEN |
